Primer reporte de la obtención de mutantes del pez Cebra (Danio rerio) por pérdida de pigmentación de la piel por la edición génica del gen de la tirosinasa con el sistema Crispr/Cas9

 

First report of obtaining mutants of Zebrafish (Danio rerio) due to loss of skin pigmentation due to gene editing of the tyrosinase gene with the Crispr/Cas9 system

 

Carlos Scotto1, 2

 

1  Laboratorio de Mejora Genética y Reproducción Animal de la Escuela de Biología, Facultad de Ciencias Naturales y Matemática, Universidad Nacional Federico Villarreal. Jirón Río Chepén s/n. El Agustino. Lima. Perú.

2 Escuela Profesional de Medicina Veterinaria y Zootecnia. Universidad Privada San Juan Bautista. Carretera Panamericana Sur N° 103, 113, 123 (Ex km 300). Ica. Perú.

 

* Autor corresponsal: cscotto@unfv.edu.pe (C. Scotto).

 

ORCID de los autores:

C. Scotto: http://orcid.org/0000-0003-1592-0419

 

 

RESUMEN

 

Actualmente el sistema Crispr/Cas9 permite la edición del genoma en forma eficiente para inducir específicamente mutaciones deseadas. En este estudio, se describe la inducción de mutaciones del gen de la tirosinasa (Tyr) en el pez Cebra para probar la efectividad de la microinyección. Una secuencia de un ARN guía (gRNAs) de 20 nucleótidos y dos primers flanqueadores (forward y reverse) fueron diseñados para el gen de la tirosinasa y microinyectados en los embriones post fecundados y mostraron una pérdida gradual de pigmentación a nivel corporal desde las primeras etapas embrionarias hasta la adultez. Este estudio reporta por primera en el Perú que el sistema Crispr/Cas9 puede realizarse en el pez Cebra como animal modelo de entrenamiento para modificar el gen Tyr cuyos fenotipos despigmentados fueron fácilmente distinguibles evidenciándose su éxito en la edición génica. A futuro serviría como modelo bioexperimental para producirse mutaciones de interés de otros genes de otras especies acuícolas de alto valor ornamental y/o comercial para el Perú.

 

Palabras clave: Crispr Cas; edición génica; pez Cebra; pigmentación; tirosinasa.

 

 

ABSTRACT

 

Currently, the Crispr/Cas9 system allows for efficient genome editing to specifically induce desired mutations. This study describes the induction of mutations in the tyrosinase (Tyr) gene in Zebrafish to test the effectiveness of microinjection. A 20-nucleotide guide RNA (gRNA) sequence and two flanking primers (forward and reverse) were designed for the tyrosinase gene and microinjected into post-fertilized embryos. These embryos showed a gradual loss of pigmentation throughout their bodies from early embryonic stages to adulthood. This study reports for the first time in Peru that the CRISPR/Cas9 system can be used in Zebrafish as a training animal model to modify the Tyr gene. The depigmented phenotypes were easily distinguishable, demonstrating the success of the gene editing. In the future, it would serve as a bioexperimental model to produce mutations of interest in other genes of other aquaculture species of high ornamental and/or commercial value for Peru.

 

Keywords: Crispr Cas, gene editing, zebrafish, pigmentation, tyrosinase.

 

 

Recibido: 15-07-2025.

Aceptado: 15-12-2025.

  
Esta obra está publicada bajo la licencia CC BY 4.0

INTRODUCCIÓN

 


La edición del genoma es cada vez más fácil y eficiente mediante el uso de la tecnología Crispr/Cas9 (repeticiones palindrómicas cortas agrupadas regularmente interespaciadas) y está contribuyendo significativamente a la mejora de los procesos de edición de diversos genes (Mojica et., 2009; Jinek et al., 2012). Este sistema permite obtener mutantes deseados en todos los organismos incluyendo los peces (Wang et al., 2007; Varshney et al., 2015; Zhu et al., 2017; Chaudhary et al. 2020; Aulia et al., 2023; Zhang et al, 2023). El sistema Crispr/Cas9 tipo II, se ha desarrollado como una nueva herramienta de ingeniería genómica de élite. Y ahora es posible superar varios desafíos de la industria de la acuicultura y piscicultura. La edición genómica puede introducir rápidamente uno o incluso múltiples modificaciones genómicas en el genoma, haciéndolo útil para lograr mejoras genéticas para la obtención de nuevas líneas de peces (Ota et al., 2014; Ferdous et al., 2022; Okoli et al., 2022; Roy et al., 2022; Gutási, 2023; Puthumana et al., 2024; Shiraki et al., 2024).

La Tirosinasa (Tyr) es un tipo de enzima caracterís-tica de los melanocitos y un marcador bioquímico/ fisiológico de diferencial madurez de los melano-citos. Cataliza la conversión de tirosina a DOPA y de DOPA a DOPA-quinona, un precursor esencial en síntesis de melanina (Boonanuntanasarn et al., 2004; Parichy, 2006; Dooley et al., 2012; Krug et al., 2023). En los peces, las mutaciones y las deleciones del gen Tyr y sus proteínas relacionadas dan como resultado anomalías en la coloración de la piel. La mayoría de los albinos de peces están relacionados con mutaciones de la familia de las tirosinasas, donde la piel de los albinos carece de melanina y el desarrollo y color de los ojos se ve afectado. Sus mutaciones generan un fenotipo tipo albino (falta de pigmentación) y ojos de color rojo (Page-McCaw et al., 2004; Yu et al., 2021; Xu et al., 2022). Que es fácilmente detectable cuando es inhibido por una mutación espontánea o inducida artificialmente por edición génica (Liu et al., 2012; Chang et al., 2013). Existen casi una docena de genes que estarían contribuyendo al patrón cromático de los peces (Braasch, 2007; Bian et al., 2021). Los estudios de similaridad demuestran su grado de conservación evolutiva de estos genes asociados al color (Fujii, 2000; Basolo, 2006; Han et al., 2008). Los mutantes albinos homocigóticos en el pez Cebra carecen por completo de melanosomas sin defectos evidentes en los otros dos tipos de células pigmentarias o asociadas al color (xantóforos e iridóforos) (Kelsh, 2004; Tsetskhladze et al., 2012).

Los análisis del ADN genómico revelaron que el gen Tyr está presente como una sola copia en el genoma de los peces (Inagaki et al., 1994). Asimismo, se dispone del genoma completo secuenciado del pez Cebra (ZFIN, 2024) con la secuencia nucleotídica del gen de la Tirosinasa en el Genbank (XM_003451484.3.) (Genbank, 2023a; Genbank, 2023b). Por otro lado, se ha logrado editar este gen e inducir decoloración y albinismo de forma eficaz, rápida y sencilla desde hace más de una década en el pez Cebra (Camp et al., 2003; Iida et al., 2004; Hwang et al., 2013; Hisano et al., 2014; Yu et al., 2014; Yin et al., 2015; Zhang et al., 2017; Kumar et al., 2020; Wu & Wang, 2020; Preeti et al., 2021; Kroll et al., 2021; Changqing et al., 2023; Fan et al., 2023).

Actualmente, el Perú no ha reportado ninguna edición génica en ningún gen de interés en ninguna especie ictícola. Quedando en la actualidad aun rezagado ante el avance exponencial de esta tecnología de vanguardia.

El presente trabajo tuvo como objetivo la microinyección del embrión del pez Cebra con el sistema Crispr/Cas9 para la inhibición del gen de la Tirosinasa y producir cambios en la coloración de la piel fácilmente distinguible en pocas horas post fecundación y facilite el poder ser utilizado como un modelo animal que permita el entrenamiento de personal en la eficacia de la edición génica de otros genes de interés en otras especies de peces de importancia acuícola para el Perú.


 

 

METODOLOGÍA

 

 


Se utilizó la cepa AB del pez Cebra (Danio rerio) que fueron proporcionados por el Cebrario del Laboratorio de Mejora Genética y Reproducción Animal de la Facultad de Ciencias Naturales y Matemática de la Universidad Nacional Federico Villarreal en la ciudad de Lima. Lo cuales se mantuvieron en agua declorada a una temperatura de 25 °C con un ciclo de luz/oscuridad de 14/10 horas. Y una conductividad de 500 μS/cm2 y pH un 7,5. Y con un régimen dietético de artemia salina viva (larvas nauplio de 24-48 horas post-eclosión) y alimento seco (Marca TetraMin). Por un tiempo de doce horas antes se indujo al desove colocando 2 hembras y 6 machos adultos en una paridera con una lámina separadora en oscuridad a 30 °C. En la mañana del día siguiente se quitó la lámina separadora y se juntaron machos y hembras por 30 minutos para obtenerse el desove. Se colectaron los embriones fertilizados después del desove total y se colocaron en una placa Petri con agua de pecera nueva con 2 mg/L de azul de metileno. Y se incubaron a 25 °C de acuerdo con el protocolo de Kimmel et al. (1995) con las siguientes etapas:

 

Etapa 1. Diseño de primers y uso de la secuencia de ARN Guía Objetivo (sgRNA) para el gen de la Tirosinasa

Se utilizó la secuencia de ARN Guía Objetivo (sgRNA) de 20 pb para el gen de la Tirosinasa reportada por Sorlien y colaboradores (2018). La cual fue: 5′-CCCCAGAAGTCCTCCAGTCC-3′ (Figura 1).


Escala de tiempo

El contenido generado por IA puede ser incorrecto.

Figura 1. Secuencia del gen de Tirosinasa (Tyr) del pez Cebra (Código del Genbank: NM_131013) donde se muestra las secuencias de los primers flanqueadores Forward y Reverse diseñados (Flechas verdes), y la secuencia de la Guía Objetivo (Flecha de color rojo). Se denota el codon de inicio ATG del gen de la Tirosinasa.

 


Etapa 2. Diseño de los primers flanqueadores de la secuencia de ARN Guía Objetivo (sgRNA)

Se utilizó los programas online Primer-BLAST (versión 2.10.0) (Altschul et al., 1990) y el Primer3 (versión 4.1.0) (Untergasser et al, 2012) para obtener primers flanqueadores específicos para la amplifi-cación de la región que contenga la Secuencia Guía Objetivo. Se obtuvo un primer Forward con la secuencia: 5′-AGTGTGTAAAGCATCTCCAGCA-3′ y un primer Reverse con la secuencia: 5′-TCGAGAGCGATGGCCTTTAGT-3′, que amplificaron un producto de 392 pb en donde se incluye a la Secuencia de ARN Guía Objetivo (sgRNA). Se procedió a la verificación estructural de los primers flanqueadores con el Programa OligoAnalyzer Tool (https://www.idtdna.com/calc/analyzer). Donde el valor del delta de G (ΔG en kcal.mol-1) de ambos primers diseñados (Forward y Reverse) tuvieron una baja probabilidad de desarrollar una estructura secundaria (ΔG =-0.53).  Asimismo, de desarrollar una estructura homodímera (ΔG = -3.14, -3.61). Y baja probabilidad de desarrollar una estructura heterodímera (ΔG = -4.74).

 

Etapa 3. Preparación del ARN guía (sgRNA)

Se realizó la resuspensión de los Kits de crRNA y tracrRNA liofilizados en la solución 1x TE (Tris 10 mM, EDTA 0,1 mM) hasta concentraciones finales de 100 µM cada una. Se mezcló los componentes en un tubo Eppendorf de 0,2 mL, hasta obtener una solución de ARN guía de 3 µM: 100 μM Alt-R ™ Crispr-Cas9 crRNA, 100 μM Alt-R™ Crispr-Cas9 tracrRNA, Buffer Duplex libre de nucleasas (HEPES 30 mM, pH 7,5; acetato de potasio 100 mM). Se calentó en una incubadora a 95°C durante 5 min. Y se dejó reposar por 10 minutos a temperatura ambiente (15 - 25°C) sobre la mesa de trabajo.

 

Etapa 4. Formación de la proteína Cas9 diluida

Para la formación de la Proteína Cas9 (Streptococcus pyogenes recombinante), esta fue resuspendida en un PBS 1X hasta un volumen final de 200 μL a una concentración de trabajo de 10 µg/µL de proteína Cas9 en Solución PBS 1X.

                                                

Etapa 5. Formación del Complejo RNP

Se combinó 9 µL de sgRNA (de la Etapa 1) con 9 µL de proteína Cas9 diluida (de la etapa 2), formando un complejo de 18 µL. Y se incubó a 37 °C durante 10 min. Y dejó enfriar a temperatura ambiente.

 

Etapa 6. Microinyección de embriones del pez Cebra

Para la microinyección de los embriones se utilizó un Micromanipulador inyector de presión Milli-Pulse (Marca Applied Scientific, modelo MPPI-3) y un Micro-inyector Nanoject III programable con accesorios (Marca Drummond Scientific, USA). Junto con un este-reoscopio con reglilla milimétrica (Marca Olimpo). Los embriones fueron inyectados manteniéndose una mínima cantidad de agua sobre el borde de una lámina portaobjetos dentro de una placa Petri. La microinyección se utilizó agujas generadas a partir de capilares de borosilicato estirados en un puller (Marca Narishigue, Modelo PC-100). Se inyectó 3 nL del Complejo RNP (de la Etapa 3) en el citoplasma de embriones en la etapa de cigoto sin división celular, conformada por una sola célula de acuerdo a técnicas estándar (Yuan & Sun, 2009) (Figura 2).

 

Etapa 7. Extracción y amplificación por PCR

Para la extracción de ADN se realizó utilizando el kit DNeasy Blood & Tissue Kit de la marca Qiagen y para lo cual se utilizó parte de la aleta caudal pez. El tejido colectado fue colocado en un tubo ependorff de 1,5 ml estéril, donde inmediatamente se procesó en el laboratorio. Las muestras fueron corridas en un gel de agarosa al 1% para observar la calidad del ADN extraído. Posteriormente se amplificó la región del gen de la Tirosinasa a partir de los primers Forward y Reverse previamente diseñados. Se trabajó con una concentración de 40 ng/μl de cada muestra, 1um para los primers, 2μm de MgCl2, 2,5 de dNTPs y 0,05 μ/μl de Taq HotStar de Qiagen.

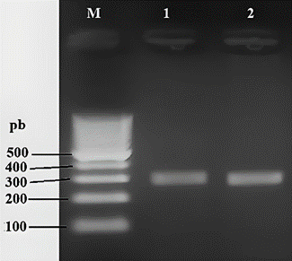
Las condiciones de ciclaje para el PCR fueron las siguientes: Activación inicial de 94 °C por 2 minutos seguidos de 35 ciclos de 94 °C por 20 segundos, 64,1 °C por 40 segundos y de 72 °C por 1 minuto, y una extensión final de 72 °C por 5 minutos. El producto amplificado fue analizado mediante electroforesis en geles de agarosa al 1,5%. Se utilizó un marcador de peso molecular de 100 pb (Figura 3).


 

Figura 2. A. Embrión de pez Cebra siendo microinyectado para su edición génica. B. Micromanipulador inyector de presión con el Microinyector Nanoject III ensamblados.

 

RESULTADOS Y DISCUSIÓN

 


La edición del genoma mediante Crispr/Cas9 ha revolucionado nuestra capacidad para generar mutantes del pez Cebra (Hwang et al., 2013). La estrategia común es microinyectar el sistema Crispr/Cas9 con su ARN guía (ARNg) en el embrión unicelular (Sorlien et al., 2018). El ARNg se une a la secuencia nucleotídica objetivo del genoma y se produce una ruptura de doble cadena del ADN. Cuando los dos extremos se unen los mecanismos de reparación del ADN pueden introducir una inserción o delección (indel) insertando o eliminando nucleotídicas en el locus objetivo (Bell et al, 2014; Brinkman et al., 2018). Los indels a menudo alteran la función de las proteínas traducidas, ya sea mutando las secuencias o introduciendo un cambio de marco que conduce a un codón de parada o finalización prematuro y generan una proteína truncada no funcional. Desde las primeras aplicaciones de Crispr/Cas9 in vivo (Chang et al., 2013; Hwang et al., 2013; Moreno-Mateos et al., 2015) se ha mejorado la mutagénesis de manera consistente como para permitir el uso exitoso de genes silenciados en la generación F0 del pez Cebra y obtenerse fenotipos mutantes desea-dos como es el caso del gen de la Tirosinasa que produce despigmentación y cuyos resultados son muy visibles pudiendo comprobarse rápidamente a las 48 horas post fecundación si hubo éxito o no de la edición génica propuesta a nivel laboratorial (Westerfield, 2000; White et al., 2008).

La estructura del gen de la Tirosinasa está codificada por cinco exones y ya se predijo 18 posibles sitios de unión de una ARNg. La secuencia del ARNg de 20 pb diseñada para el gen Tyr fue reportada por Sorlien (2018). Asimismo, los primers diseñados in silico para flanquear esta ARNg coinciden con la secuencia del gen Tyr del pez Cebra ha sido reportado por varios trabajos científicos coincidiendo con la de esta investigación (Camp et al., 2003; Tsetskhladze et al., 2013; Jao et al., 2013; Grainger et al., 2017; Wu et al., 2020; Preeti et al., 2021; Kroll et al., 2021). 

La corrida electroforética obtenida solamente presentó una banda única de amplificación de 392 nucleótidos del gen de la Tirosinasa del pez Cebra editado (Figura 3). Evidenciándose que los primers diseñados amplificaron óptimamente la secuencia del gen de la Tirosinasa del pez Cebra reportado con el Código del Genbank: NM_131013 (Figura 1).

 

 

Figura 3. 1, 2 = Electroforesis en gel de agarosa para la detección del gen de la Tirosinasa (Tyr) editada del pez Cebra. M = Marcador molecular de 100 pb.

 

Desde hace casi una década varios investigadores ya han reportado la edición de un solo gen inducida por Crispr/Cas9 en el pez Cebra puesto que es muy fácil de microinyectar la nucleasa Cas9 en sus embriones. A pesar de que la membrana del embrión presenta una baja tasa de éxito en la microinyección en diversos peces ovíparos. Además, en algunas especies de peces, la membrana/cáscara del huevo es blanda y en otras es muy dura. Por lo que, es esencial estandarizar el tipo y diámetro de la aguja y el volumen de la microinyección (Okoli et al., 2021). Aspecto técnico que se ha superado en la presente investigación con el embrión del pez Cebra (Figura 2).

En el pez Cebra la síntesis de melanina comienza alrededor de las 20 hpf, siendo la inducción a la hipopigmentación de los melanóforos de la piel en los embriones inyectados la más exitosa y altamente eficiente (Chang et al., 2013; Hruscha et al., 2013; Hwang et al., 2013; Jao et al., 2013; Sung et al., 2014). Es así, que las observaciones del desarrollo embrionario que se realizaron con un microscopio óptico a 40X en esta investigación también se pudo observar la inhibición de la pigmentación similar a la reportada previamente por varias investigaciones anteriores (Figura 4).

 

 

Figura 4. A. Alevín de pez Cebra no editado. B. Alevín de pez Cebra editado en el gen de la Tirosinasa. 120 hpf. 40X de aumento.

 

La familia del gen de la Tirosinasa puede afectar la síntesis de melanina en los melanocitos, y su expresión refleja directamente el color corporal del pez. Por lo tanto, pueden considerarse como un gen marcador del genotipo y fenotipo en peces albinos o peces con cuerpo transparente a nivel ornamental (Camp et al., 2001; Braasch et al., 2007). Los peces constituyen el grupo más primitivo y cuantitativamente dominante, y se consideran tradicionalmente una de las principales fuentes de proteínas para los seres humanos. La actividad del gen de la Tirosinasa y de las proteínas relacionadas. Está estrechamente relacionada con la coloración de los peces y su aceptabilidad de los consumidores. El color corporal de los peces afecta la demanda de los consumidores, lo que repercute negativamente en las fuentes de proteínas para los consumidores y en la eficiencia económica a nivel acuícola. Resolver la coloración de la piel de los peces tendrá una gran importancia económica al dársele un valor agregado a la calidad (Wang et al., 2007; Roy et al, 2022).

La inhibición de la pigmentación en el pez Cebra editado por la anulación de la expresión del gen de la Tirosinasa con la metodología del sistema Crispr/Cas9 empleado evidenció una mutación que fue observada desde los primeros estadios del embrión hasta el crecimiento del pez Cebra en estado adulto de cuatro meses de edad, coinci-diendo con los resultados ya reportados por varios investigadores (Figura 5) (Changqing et al., 2023; Fan et al., 2023).

Para el 2050, la población mundial probablemente alcanzará los 10 mil millones de habitantes. El sector de alimentos tendrá una creciente demanda mundial de proteínas a nivel acuícola futura y deberá avanzar hacia objetivos de mejoramiento genético más ambiciosos y efectivos, como son la resistencia a enfermedades, el crecimiento produc-tivo, la pigmentación o coloración y la reproducción (FAO, 2020). La mejora genética con el uso del sistema Crispr/Cas9, permite ahora modificar rápidamente el fenotipo de manera dirigida y no al azar. Y podría ser “un factor determinante” en la producción y/o la productividad de peces para hacerla de manera más eficiente y sostenible. Beneficiando a los distintos sistemas de cultivo y a los consumidores con soluciones muy novedosas de alto impacto para la producción acuícola.

 

 

Figura 5. A. Alevín de pez Cebra no editado (Izquierda) y alevín editado derecha. B. Pez Cebra adulto editado en el gen de la Tirosinasa (Tyr).

 

Las aplicaciones de edición génica permanecen actualmente en la etapa de investigación, y en los programas de mejoramiento genético acuícola, aún son limitadas. Esto ocurre principalmente debido al hecho de que el público común aún no está convencido del todo de los productos editados genómicamente y el entorno regulatorio global sobre la edición genómica sigue aun siendo incierto. Por otro lado, la edición génica es diferente al de los organismos modificados genéticamente o transgénicos (OGM u OVM). En los transgénicos, los nuevos genes foráneos se combinan en el genoma original de una especie. Mientras que la edición genómica no se introduce ningún ADN extraño en el genoma de las especies de interés. Sino es un pequeño cambio controlado en el ADN original que mejora el rasgo objetivo al eliminar los alelos o variantes no deseadas (Yang et al., 2022). Esto significa que el pez transgénico no es un organismo que existiría en la naturaleza. Mientras que el pez editado donde los genes originales se alteran parcialmente de forma similar al proceso de crianza selectiva, acortando así el proceso de evolución de la mutación que ocurre en la naturaleza a lo largo de muchas generaciones de crianza. Actualmente, la legislación peruana está supeditada a una Ley de Moratoria a los organismos transgénicos hasta el año 2035 (Ley Nº 29811). Ley que establece la moratoria al ingreso y producción de organismos vivos modificados al territorio nacional por un periodo de 10 años, y que fue modificada por la Ley N° 31111 y extendida hasta el 31 de diciembre del año 2035. Esto impide el ingreso y producción en el territorio nacional de organismos vivos modificados (OVM) con fines de cultivo o crianza, incluidos los acuáticos, a ser liberados en el ambiente. Asimismo, ante el avance creciente de la edición génica se ha planteado un proyecto de Ley 011125/2024-CR en el Perú, que busca promover y regular el uso de variedades y razas biotecnológicas en agricultura y ganadería, fomentando investigación, innovación y la soberanía genética incluyendo a los Organismos Vivos Modificados (OVM) y a los Organismos Genéticamente Editados (OGE). Separándolos técnica y legalmente en su regulación y promoción en aras de la sociedad y de la empresa acuícola con una regulación estatal efectiva y objetiva para este inicio del segundo cuarto del siglo XXI.


CONCLUSIONES

 


El uso del pez Cebra se ha consolidado como un modelo experimental clave para comprender los procesos biológicos de alta relevancia para la acuicultura. Siendo un sistema biológico versátil, rápido y de bajo costo que acelera la obtención de evidencia científica a nivel laboratorial y que pueden ser transferidos a otras especies de interés acuícola. Debido a sus ventajas biológicas a permitido el desarrollo e implementación de nuevos protocolos moleculares para la modificación genética en diversas especies ictícolas. Es así, que las herramientas de la edición génica están siendo muy eficaces y se han empezado a utilizar ampliamente en la acuicultura y piscicultura actual. Las modificaciones genéticas dirigidas en el ADN genómico de las diferentes especies acuícolas podrían generar cambios radicales en la producción acuícola peruana en el futuro. En resumen, el diseño de peces mutantes editados mediante la modificación de genes de interés es actualmente ya una realidad factible. Sin embargo, en el Perú a pesar de su riqueza ictiológica no se ha realizado la edición génica en ningún pez. Existiendo un vacío tecnológico comparado con otros países que lo están utilizando actualmente. Y donde se están aplicando nuevos enfoques hacia sistemas de producción acuícola intensiva sostenible en el tiempo.

En resumen, la edición génica en el Perú es actualmente la única opción biotecnológica futura para generar nuevas líneas o variedades mejoradas de peces a ser mejorados rápidamente a futuro.

Por todo lo mencionado, se ha desarrollado un protocolo de fácil uso, rápido y económico a nivel laboratorial. Que permite validar la edición génica mediante la obtención de despigmentación corporal por silenciamiento del gen de la Tirosinasa (Tyr) en el pez Cebra. El presente protocolo optimizado permitirá el uso mínimo de reactivos y equipos para identificar a las líneas de los peces Cebra mutantes con este gen silenciado y que muestren un fenotipo corporal sin pigmen-tación desde las primeras etapas embrionarias mediante el uso del sistema Crispr/ Cas9 por microinyección de sus embriones. Además, este protocolo está diseñado para que pueda ser utilizado por personal de laboratorio con niveles de experiencia mínima incluidos los practicantes aun en nivel académico universitario. Lo que permitirá que cualquier grupo de investigación interesado en realizar modificaciones genómicas por edición génica lo logre paso a paso con un adiestramiento mínimo usando el gen de la Tirosinasa para inducir despigmentación corporal que es rápidamente observable y fiable en pocas horas post fecundación. A futuro, se podrá utilizar esta poderosa herramienta molecular en otros genes de interés en otros peces de importancia comercial u ornamental para la acuicultura o la pesquería peruana.


 

REFERENCIAS BIBLIOGRÁFICAS

 


Aulia, A., Hutapea, R., Setya Abdima, P., Ali Emawan, A., & Edbert, I. (2023). CRISPR: On How it’ll Change the Future. Engineering, Mathematics and Computer Science, 5(2), 73-77. https://doi.org/10.21512/emacsjournal.v5i2.9975

Altschul, S. F., Gish, W., Miller, W., Myers, E. W., & Lipman, D. J. (1990). Basic local alignment search tool. Journal of Molecular Biology, 215, 403-410. https://doi.org/10.1016/S0022-2836(05)80360-2

Base de datos del NCBI. https://www.ncbi.nlm.nih.gov/

Basolo, A. (2006). Genetic Linkage and Color Polymorphism in the Southern Platyfish (Xiphophorus maculatus): A Model System for Studies of Color Pattern Evolution. Zebrafish, 3(1), 65-83. https://doi.org/10.1089/zeb.2006.3.65

Bell, C. C., Magor, G. W., Gillinder, K. R., & Perkins, A. C. (2014). A high-throughput screening strategy for detecting CRISPR-Cas9 induced mutations using next-generation sequencing. BMC Genomics, 15, 1002. https://doi.org/10.1186/1471-2164-15-1002

Bian, C., Li, R., Wen, Z., Ge, W., & Shi, Q. (2021). Phylogenetic analysis of core melanin synthesis genes provides novel insights into the molecular basis of albinism in fish. Frontiers in Genetics, 12, 707228. https://doi.org/10.3389/fgene.2021.707228

Boonanuntanasarn, S., Yoshizaki, G., Iwai, K., & Takeuchi, T. (2004). Molecular cloning, gene expression in albino mutants and gene knockdown studies of tyrosinase mRNA in rainbow trout. Pigment Cell Research, 17(4), 413-21. https://doi.org/10.1111/j.1600-0749.2004.00166.x

Brinkman, E., Chen, T., de Haas, M., Holland, H., Akhtar, W., & Steensel, B. (2018). Kinetics and fidelity of the repair of Cas9-Induced Double-Strand DNA breaks. Molecular Cell, 70, 801–813. https://doi.org/10.1016/j

Braasch, I.; Schartl, M., & Volff, J. (2007). Evolution of pigment synthesis pathways by gene and genome duplication in fish. BMC Evolutionary Biology, 7(74), 14-18. https://doi.org/10.1186/1471-2148-7-74

Camp, E., Badhwar, P., Mann, G., & Lardelli, M. (2003). Expression analysis of a tyrosinase promoter sequence in zebrafish. Pigment Cell Research, 16, 117–126. https://doi.org/10.1034/j.1600-0749.2003.00002.x

Chang, N., Sun, C., Gao, L. et al. (2013). Genome editing with RNA-guided Cas9 nuclease in zebrafish embryos. Cell Research, 23, 465–472. https://doi.org/10.1038/cr.2013.45

Changqing, Z., Ziheng, R., & Zhiyuan, G. (2023). Generation of Albino Phenotype in Ornamental Fish by CRISPR/Cas9-Mediated Genome Editing of slc45a2 Gene. Marine Biotechnology, 25, 1-10. https://doi.org/10.1007/s10126-023-10204-9

Chaudhary, D. K., Singh, S. K., Gohil, N., & Bhattacharjee, G. (2020). Recent progress of CRISPR-Cas9 in zebra fish in Genome engineering via CRISPR/cas9 system. In: Genome Engineering via CRISPR-Cas9 System. Chapter 19, Editorial: Elsevier Inc., 251-261. https://doi.org/10.1016/B978-0-12-818140-9.00019-2

Dooley, CM, Schwarz, H., Mueller, K.P., Mongera, A., Konantz, M.; Neuhauss, S., Nusslein-Volhard, C., & Geisler, R. (2012). Slc45a2 and V-ATPase are regulators of melanosomal pH homeostasis in zebrafish, providing a mechanism for human pigment evolution and disease. Pigment Cell Melanoma Research, 26, 205–217. https://doi.org/10.1111/pcmr.12053

Fan, Y., Zhang, G., Zhao, K., Yuan, X., Fu, W., Liu, J., Liu, W., Peng, L., & Xiao, Y. (2023). Rapidly generating homozygous mutate zebrafish in F0 generation by technical integration of CRISPR/Cas9 and gynogenesis. Reproduction and Breeding, 3(2), 45-49. https://doi.org/10.1016/j.repbre.2023.04.001

Food and Agriculture Organization. (2020). FAO Aquaculture Newsletter No. 61. http://www.fao.org/faoterm/collection/aquaculture/en/

Ferdous, Md. A., Islam, S. I., Habib, N., Almohada, M., Allahyani, M., Alsaiari, A. A., & Shafie, A. (2022). CRISPR-Cas Genome Editing Technique for Fish Disease Management: Current Study and Future Perspective. Microorganisms, 10(10), 2012. https://doi.org/10.3390/microorganisms10102012

Fujii, R. (2000). The regulation of motile activity in fish chromatophores. Pigment cell research, 13, 300-319. https://doi.org/10.1034/j.1600-0749.2000.130502.x

Genbank (2023a). Secuencia del ARNm del gen Tyr parcial de Danio rerio para la enzima tirosinasa NM_131013.3. https://www.ncbi.nlm.nih.gov/nuccore/NM_131013

Genbank (2023b). Gen tyr parcial de Danio rerio para la enzima tirosinasa XM_003451484.3. https://www.ncbi.nlm.nih.gov/nucleotide/AJ489318.1?report=genbank&log$=nucltop&blast_rank=58&RID=UXN4KZ8M013

Grainger, S., Lonquich, B., Oon, C. H., Nguyen, N., Willert, K., & Traver, D. (2017). CRISPR guide RNA validation in vitro. Zebrafish 14, 383–386. https://doi.org/10.1089/zeb.2016.1358

Gutási, A., Hammer, S.E., El-Matbouli, M., & Saleh, M. (2023). Review: Recent Applications of Gene Editing in Fish Species and Aquatic Medicine. Animals, 13, 1250. https://doi.org/10.3390/ani13071250

Hallerman, E. (2021). Genome Editing in Cultured Fishes. CABI Agricultura y Biociencia, 2. https://doi.org/10.1186/s43170-021-00066-3

Han, J., Kraft, P., Nan, H., Guo, H., Chen, C., Qureshi, A., Hankinson, E., Hu, F., Duffy, D., Zhao, Z., Martin, N., Montgomery, G., Hayward, N., & Hunter, A. (2008). Genome-Wide Association Study Identifies Novel Alleles Associated with Hair Color and Skin Pigmentation. PLoS Genet, 4(5), 1-11. https://doi.org/10.1371/journal.pgen.1000074

Hisano, Y., Ota, S., & Kawahara, A. (2014). Genome editing using artificial site-specific nucleases in zebrafish. Development, Growth & Differentiation, 56(1):26-33. https://doi.org/10.1111/dgd.12094

Hruscha, A., Krawits, P., Rechenberg, A., Heinrich, V., Hecht, J., Haass, C., & Schmid, B. (2013). Efficient CRISPR/Cas9 genome editing with low off-target effects in zebrafish. Development, 140, 4982–4987. https://doi.org/10.1242/dev.099085

Hwang, W.Y., Fu, Y., Reyon, D., Maeder, M. L., Kaini, P., et al. (2013) Heritable and precise zebrafish genome editing using a CRISPR-Cas System. PLoS ONE, 8(7), e68708. https://doi.org/10.1371/journal.pone.0068708

Iida, A., Inagaki, H., Suzuki, M., Wakamatsu, Y., & Hori, H. (2004). The tyrosinase gene of the i(b) albino mutant of the medaka Fish carries a transposable element insertion in the promoter. Pigment Cell Research, 17, 158–164. https://doi.org/10.1046/j.1600-0749.2003.00122.x

Inagaki, H., Koga, A., Bessho, Y., & Hori, H. (1998). The tyrosinase gene from medakafish: transgenic expression rescues albino mutation. Pigment Cell Research, 11(5), 283-90. https://doi.org/10.1111/j.1600-0749.1998.tb00737.x

Jao, L. E., Wente, S. R., & Chen, W. (2013) Efficient multiplex biallelic zebrafish genome editing using a CRISPR nuclease system. Proceedings of the National Academy of Sciences USA, 110, 13904–13909. https://doi.org/10.1073/pnas.1308335110

Jinek, M., Chylinski, K., Fonfara, I., Hauer, M., Doudna, J. A., & Charpentier, E. A (2012). Programmable dual-RNA-guided DNA endonuclease in adaptive bacterial immunity. Science, 337(6096), 816-21. https://doi.org/10.1126/science.1225829

Kelsh, R. N. Genetics and evolution of pigment patterns in fish. (2004). Pigment Cell Research, 17, 326–336. https://doi.org/10.1111/j.1600-0749.2004.00174.x

Kimmel, C. B., Ballard, W. W., Kimmel, S. R., Ullmann, B., & Schilling, T. F. (1995). Stages of embryonic development of the zebrafish. Developmental Dynamics, 203(3), 253-310. https://doi.org/10.1002/aja.1002030302

Kroll, F., Powell, G., Ghosh, M., Gestri, G., Antinucci, P., Hearn, T., Tunbak, H., Lim, S., Dennis, H., Fernandez, J., Whitmore, D., Dreosti, E., Wilson, S., Hoffman, E., & Rihel, J. (2021). A simple and effective F0 knockout method for rapid screening of behaviour and other complex phenotypes. eLife, 10, e59683. https://doi.org/10.7554/eLife.59683

Krug, J., Perner, B., Albertz, C., Mörl, H., Hopfenmüller, V., Englert, C. (2023) Generation of a transparent killifish line through multiplex CRISPR/Cas9mediated gene inactivation. eLife, 12, e81549. https://doi.org/10.7554/eLife.81549

Ley que establece la moratoria al ingreso y producción de organismos vivos modificados al territorio nacional por un período de 10 años (Ley Nº 29811, 2011, Diciembre 09). Diario Oficial El Peruano, pp. 454601. En: https://www.minam.gob.pe/wp-content/uploads/2017/04/Ley-N%C2%B0-29811.pdf.

        Leído 03 de diciembre de 2025.

Ley que modifica la Ley 29811, Ley que establece la moratoria al ingreso y producción de organismos vivos modificados al territorio nacional por un período de 15 años, a fin de establecer la moratoria hasta el 31 de diciembre de 2035 (Ley Nº 31111, 2021, Enero 06). Diario Oficial El Peruano, pp. 4. En: https://bioseguridad.minam.gob.pe/wp-content/uploads/2021/02/Ley-31111.pdf

Liu, J., Gong, L., Chang, C., Liu, C., Peng, J., & Chen, J. (2012). Development of novel visual plus quantitative analysis systems for studying DNA double-strand break repairs in zebrafish. Journal of Genetics and Genomics, 39(9), 489-502. https://doi.org/10.1016/j.jgg.2012.07.009

Mojica, F. J. M., Díez-Villaseñor, C., García-Martínez, J., & Almendros, C. (2009). Short motif sequences determine the targets of the prokaryotic CRISPR defence system. Microbiology (Reading), 155(Pt 3), 733-740. https://doi.org/ 10.1099/mic.0.023960-0

Moreno-Mateos, M., Vejnar, C., Beaudoin, J. D., et al. (2015). CRISPRscan: designing highly efficient sgRNAs for CRISPR-Cas9 targeting in vivo. Nature Methods, 12, 982–988. https://doi.org/10.1038/nmeth.3543

Okoli, A., Blix, T., Myhr, A., Xu, W., & Xu, X. (2022). Sustainable use of CRISPR/Cas in fish aquaculture: the biosafety perspective. Transgenic Research, 31(1), 1-21. https://doi.org/10.1007/s11248-021-00274-7

Page-McCaw, P. S., Chung, S. C., Muto, A., Roeser, T., Staub, W., Finger-Baier, K. C., Korenbrot, J. I., & Baier, H. (2004). Retinal network adaptation to bright light requires tyrosinase. Nature Neuroscience, 7(12), 1329-1336. https://doi.org/10.1038/nn1344

Parichy, D. M. (2006). Evolution of danio pigment pattern development. Heredity (Edinb). 97, 200–210. https://doi.org/10.1038/sj.hdy.6800867

Preeti, S., Sharan, S., & Ramtej, V. (2021). CRISPR-based genome editing of zebrafish. Progress in Molecular Biology and Translational Science, 180, 69-84. https://doi.org/10.1016/bs.pmbts.2021.01.005

Programa Primer-BLAST. https://www.ncbi.nlm.nih.gov/tools/primer-blast/

Programa OligoAnalyzer Tool. https://www.idtdna.com/calc/analyzer

Proyecto de Ley 011125/2024-CR, que busca promover y regular el uso de variedades y razas biotecnológicas en agricultura y ganadería, fomentando investigación, innovación y la sobera-nía genética incluyendo Organismos Vivos Modificados (OVM) y Organismos Genéticamente Editados (OGE). (Proyecto de Ley Nº 011125, 2025, Mayo 13). Congreso de la República.

Puthumana, J., Chandrababu, A., Sarasan, M., et al. (2024). Genetic improvement in edible fish: status, constraints, and prospects on CRISPR-based genome engineering.  Biotech, 14, 44. https://doi.org/10.1007/s13205-023-03891-7

Roy, S., Kumar, V., Behera, B. K., Parhi, J., Mohapatra, S., Chakraborty, T., & Das, B. K. (2022). CRISPR/Cas Genome Editing—Can It Become a Game Changer in Future Fisheries Sector? Frontiers in Marine Science, 9, artículo 924475. https://doi.org/10.3389/fmars.2022.924475

Shiraki, T., & Kawakami, K. (2024). Generation of Transgenic Fish Harboring CRISPR/Cas9-Mediated Somatic Mutations Via a tRNA-Based Multiplex sgRNA Expression. Methods in Molecular Biology, 2707, 305-318. https://doi.org/10.1007/978-1-0716-3401-1_20

Sorlien, E., Witucki, M. A., & Ogas, J. (2018). Efficient Production and Identification of CRISPR/Cas9-generated Gene Knockouts in the Model System Danio rerio. Journal of Visualized Experiments, 138, 56969. https://doi.org/10.3791/56969

Sung, Y. H., Kim, J. M., Kim, H. T., Lee, J., Jeon, J., Jin, Y., Choi, J. H., Ban, Y. H., Ha, S. J., Kim, C. H., Lee, H. W., & Kim, J. S. (2014). Highly efficient gene knockout in mice and zebrafish with RNA-guided endonucleases. Genome Research, 24, 125–131. https://doi.org/10.1101/gr.163394.113

Ota, S., Hisano, Y., Ikawa, Y., & Kawahara, A. (2014). Multiple genome modifications by the CRISPR/Cas9 system in zebrafish. Genes Cells, 19(7), 555-564. https://doi.org/10.1111/gtc.12154

Tsetskhladze, Z. R., Canfield, V. A., Ang, K. C., Wentzel, S. M., Reid, K. P., Berg, A. S., Johnson, S. L., Kawakami, K., & Cheng, K. C. (2012). Functional assessment of human coding mutations affecting skin pigmentation using zebrafish. PLoS One, 7(10), e47398. https://doi.org/10.1371/journal.pone.0047398

Untergasser. A., Cutcutache, I., Koressaar, T., Ye, J., Faircloth, B. C., Remm, M., & Rozen, S. G. (2012). Primer3 - new capabilities and interfaces. Nucleic Acids Research, 40(15), e115. https://doi.org/10.1093/nar/gks596

Varshney, G., Sood, R., & Burgess, S. (2015). Understanding and Editing the Zebrafish Genome. Advanced Genetics, 92, 1-52. https://doi.org/10.1016/bs.adgen.2015.09.002

Wang, J., Hou, L., Zhang, R. et al. (2007). The tyrosinase gene family and albinism in fish. Journal of Oceanology and Limnology, 25, 191–198. https://doi.org/10.1007/s00343-007-0191-9

Westerfield, M. (2000). The Zebrafish Book: A Guide for the Laboratory Use of Zebrafish. http://zfin.org/zf_info/zfbook/zfbk.html.

White, R., Sessa, A., Burke, C., Bowman, T., LeBlanc, J., Ceol, C., Bourque, C., Dovey, M., Goessling, W., Burns. C., & Zon, L. (2008). Transparent adult zebrafish as a tool for in vivo transplantation analysis. Cell Stem Cell, 2, 183-189. https://doi.org/10.1016/j.stem.2007.11.002

Wu, Y., & Wang, I. (2020). Heat-shock-induced tyrosinase gene ablation with CRISPR in zebrafish. Molecular Genetics and Genomic, 295, 911–922. https://doi.org/10.1007/s00438-020-01681-x

Xu, X., Chen, H., Mandal, B. K., Si, Z., Wang, J., & Wang, C. (2022). Duplicated Tyr disruption using CRISPR/Cas9 reveals melanophore formation in Oujiang color common carp (Cyprinus carpio var. color). Reproduction and Breeding, 2, 37-45. https://doi.org/10.1016/j.repbre.2022.05.001

Yin, L., Maddison, L. Li, M., Kara, N., LaFave, M., Varshney, G., Burgess, S., Patton, J., & Chen, W. (2015). Multiplex Conditional Mutagenesis Using Transgenic Expression of Cas9 and sgRNA. Genetics, 200(2), 431–441. https://doi.org/10.1534/genetics.115.176917

Yu, C., Zhang, Y., Yao, S., & Y. Wei. (2014). A PCR based protocol for detecting indel mutations induced by TALENs and CRISPR/Cas9 in zebrafish. PLoS ONE, 9, e98282. https://doi.org/10.1371/journal.pone.0098282

Yu, L., Chen, H., Hu, X., Chen, X., Liu, Z., Wang, J., & Wang, C. (2021). SLC24A5 plays fundamental roles in regulating melanophore development in Cyprinidae fish. Reproduction and Breeding, 1, 167-173. https://doi.org/10.1016/j.repbre.2021.11.001

Yuan S., & Sun Z. (2009). Microinjection of mRNA and morpholino antisense oligonucleotides in zebrafish embryos. Journal of Visualized Experiments, 7(27), 1113. https://doi.org/10.3791/1113

Zebrafish Information Network (ZFIN) (2024). https://zfin.org/ZDB-FISH-1509017721

Zhang, Y., Qin, W., Lu, X., Xu, J., Huang, H., & Bai, H. (2017). Programmable base editing of zebrafish genome using a modified CRISPR-Cas9 system. Nature Communications, 8(1), 118. https://doi.org/10.1038/s41467-017-00175-6

Zhang, C., Ren, Z., & Gong, Z. (2023). Generation of Albino Phenotype in Ornamental Fish by CRISPR/Cas9-Mediated Genome Editing of slc45a2 Gene. Mar Biotechnol (NY), 25, 281-290. https://doi.org/10.1007/s10126-023-10204-9

Zhu, B., & Ge, W. (2018). Genome editing in fishes and their applications. General and Comparative Endocrinology, 257, 3-12. https://doi.org/10.1016/j.ygcen.2017.09.011